We have developed and validated a new test that can simultaneously detect 3 major bovine respiratory viral pathogens: bovine herpesvirus 1/ infectious bovine rhinotracheitis virus (BoHV-1), bovine respiratory syncytial virus (BRSV) and bovine parainfluenza 3 virus (BPIV-3). Test fee is $29.00. Expected turnaround time of next business day.
When investigating multifocal or generalized skin disease, submission of multiple skin biopsies (particularly early in the progression of disease, prior to treatment) are more likely to yield a helpful definitive diagnosis. The same holds for endoscopic enteric biopsies.
Many new, emerging, and re-emerging diseases of people are caused by pathogens originating from animals, or are shared between people and animals. The AHL plays an important role in public health by identifying zoonotic pathogens in about 1,000 cases annually (Tables 1 and 2). These are numerator data reliant upon submission biases to the diagnostic laboratory and cannot be regarded as population prevalence estimates. Monitoring programs are not included.
Table 1. Cases with selected zoonotic pathogens isolated and/or identified at the AHL, 2013
|
Pathogen |
Bovine |
Swine |
Equine |
Ovine |
Caprine |
Chicken |
Turkey |
Canine |
Feline |
Other |
2013 |
2012 |
2011 |
2010 |
2009 |
|
Ascarids (T. canis, T. cati, T. leonina, Baylisascaris spp.) |
|
|
|
|
|
|
|
21 |
12 |
3 |
36 |
35 |
ND |
ND |
ND |
|
Blastomyces dermatitidis |
|
|
|
|
|
|
|
16 |
|
1 |
17 |
10 |
10 |
5 |
10 |
|
Bordetella bronchiseptica |
|
17 |
2 |
|
|
|
|
|
5 |
8 |
24 |
33 |
43 |
54 |
60 |
|
Borrelia burgdorferi (Lyme disease) |
|
|
1 |
|
|
|
|
10 |
|
|
11 |
3 |
1 |
|
|
|
Brucella sp. (non abortus) |
|
|
|
|
|
|
|
|
|
|
0 |
0 |
|
|
|
|
Campylobacter coli / jejuni / fetus subsp. fetus |
2 |
|
|
3 |
|
|
|
1 |
|
|
6 |
17 |
12 |
24 |
14 |
|
Chlamydophila spp. |
2 |
|
|
11 |
11 |
|
|
|
|
1* |
25 |
33 |
39 |
58 |
29 |
|
Clostridium difficile |
3 |
3 |
5 |
|
|
|
|
|
|
|
11 |
19 |
40 |
31 |
24 |
|
Coxiella burnetii (Q fever) |
4 |
|
|
10 |
14 |
|
|
|
|
|
28 |
36 |
99 |
115 |
9 |
|
Cryptococcus spp. |
|
|
|
|
|
|
|
|
1 |
1 |
2 |
1 |
|
|
|
|
Cryptosporidium spp. |
177 |
8 |
|
11 |
6 |
1 |
|
|
|
3 |
206 |
141 |
147 |
157 |
128 |
|
Eastern equine encephalitis virus |
|
|
1 |
|
|
|
|
|
|
|
1 |
0 |
5 |
12 |
11 |
|
Echinococcus multilocularis |
|
|
|
|
|
|
|
|
|
|
0 |
1 |
0 |
0 |
0 |
|
Giardia spp. |
12 |
|
|
1 |
3 |
|
|
30 |
2 |
|
48 |
26 |
31 |
60 |
55 |
|
Listeria monocytogenes |
8 |
|
|
2 |
4 |
|
|
|
|
1 |
15 |
18 |
18 |
19 |
18 |
|
Methicillin-resistant Staphylococcus aureus (MRSA) |
|
|
4 |
|
|
|
|
3 |
1 |
|
8 |
24 |
49 |
74 |
36 |
|
Methicillin-resistant Staphylococcus pseudintermedius (MRSP) |
|
|
|
|
|
|
|
138 |
3 |
|
141 |
114 |
192 |
ND |
ND |
|
Mycobacterium tuberculosis |
|
|
|
|
|
|
|
|
|
|
0 |
0 |
0 |
0 |
0 |
|
Rabies |
|
|
|
|
|
|
|
|
|
|
0 |
0 |
0 |
3 |
8 |
|
Salmonella spp. |
66 |
56 |
18 |
9 |
0 |
51 |
33 |
25 |
|
50 |
308 |
281 |
256 |
256 |
281 |
|
Streptobacillus moniliformis (rat bite fever) |
|
|
|
|
|
|
|
|
|
|
0 |
0 |
0 |
0 |
0 |
|
Streptococcus equisimilis |
|
14 |
10 |
|
1 |
|
|
8 |
1 |
|
34 |
45 |
59 |
48 |
43 |
|
Streptococcus suis |
17 |
103 |
|
1 |
2 |
|
|
|
|
3 |
126 |
144 |
106 |
110 |
120 |
|
Streptococcus zooepidemicus |
2 |
1 |
102 |
|
|
|
|
1 |
5 |
1 |
112 |
4 |
149 |
152 |
117 |
|
Toxoplasma gondii |
|
|
|
8 |
1 |
|
|
|
2 |
1 |
11 |
8 |
24 |
22 |
19 |
|
Verotoxigenic E. coli |
5 |
3 |
|
|
1 |
|
|
|
|
|
9 |
12 |
ND |
ND |
ND |
|
West Nile virus |
|
|
4 |
|
|
|
|
|
|
40 |
44 |
36 |
34 |
7 |
6 |
|
Yersinia enterocolitica |
1 |
|
|
|
|
|
|
1 |
|
2 |
4 |
2 |
1 |
2 |
0 |
|
Total |
|
|
|
|
|
|
|
|
|
|
1236 |
1043 |
1315 |
1209 |
988 |
*All C. abortus except for 1 case of C. psittaci in a pet bird.
Table 2. Leptospira spp. seropositive cases identified at the AHL, 2013, microscopic agglutination test (MAT).
|
Leptospira spp. serovar |
Bovine |
Swine |
Equine |
Canine |
Other |
|
L. autumnalis |
10 |
2 |
6 |
29 |
1 |
|
L. bratislava |
18 |
4 |
15 |
17 |
1 |
|
L .canicola |
20 |
2 |
4 |
12 |
|
|
L. grippotyphosa |
5 |
3 |
2 |
22 |
1 |
|
L. hardjo |
19 |
2 |
5 |
7 |
1 |
|
L. icterohaemorrhagiae |
23 |
3 |
12 |
26 |
|
|
L. pomona |
18 |
2 |
2 |
9 |
|
The AHL has recently validated an immunohistochemical (IHC) test for Listeria monocytogenes in formalin-fixed, paraffin-embedded tissue sections. This test is very helpful in cases with histologic lesions typical of listeriosis, but for which fresh tissue is not available for bacterial culture.
The beauty of IHC lies in the ability to co-localize staining for infectious antigens and histologic lesions, enhancing the value of test results (Figure 1).

There are over 40 coagulase-negative Staphylococcus spp. (CNS) recognized to date. Among them, 3 species (Staphylococcus chromogenes, S. simulans, S. epidermidis) are predominantly isolated from milk samples. In contrast to the other species of CNS, these species persist in mammary glands during lactation resulting in a moderate increase in somatic cell counts associated with subclinical mastitis. Recently it has been also shown that S. simulans can resist phagocytosis and killing by macrophages more successfully than other species of CNS, and comparable to S. aureus. With the growing body of evidence supporting significance of these species in mastitis, the AHL mastitis laboratory started reporting these 3 species of CNS as individual species in January 2014. All other CNS species will be reported as CNS, and further speciation within this group will be attempted as more research data in this field becomes available.
One of 3 calves ranging in age from 2 days to 1 week that had died from scours was submitted to the AHL for postmortem examination. The owner had noted some blood in the stool of some calves.
The submitted calf was 3 days old and when submitted was notably dehydrated with loose feces staining the perineal region. The rumen and abomasum were distended with clotted milk, and mucoid yellow-brown content was present in the small intestine, with pasty feces in the colon. Microscopic examination of tissues showed occasional neutrophils in crypts in small intestine and colon, and in ileum there was ulceration with an outpouring of neutrophils, fibrin and cellular debris, with bacterial colonies enmeshed.
Routine bacteriological cultures for enteropathogenic E. coli, Salmonella spp. and Yersinia spp. were negative. Based on histological findings, Campylobacter spp. culture was requested, and large numbers of Campylobacter jejuni (4+) were isolated. In addition, the colon content was positive on PCR testing for rotavirus A. PCR tests for BVDV and bovine coronavirus were negative.
C. jejuni can be commonly isolated from feces in healthy cattle. However, there are anecdotal reports of it being associated with enteritis in young ruminants; we are not aware of disease being reproduced by this organism in any controlled studies. Although C. jejuni culture is not usually done for cases of calf diarrhea, it was done in this case because of the absence of other pathogens and in view of the lesion seen. Because of the microscopic lesions seen, the failure to isolate other bacterial pathogens, and the large numbers of C. jejuni isolated, it appears that C. jejuni contributed to the enteritis in this case. It is likely that C. jejuni played a role of opportunistic bacterial pathogen following rotavirus A infection.
C. jejuni is a zoonotic agent, and a common cause of enteritis in humans.
On January 22, 2014, 4 2-5-day-old pigs were submitted from a 500-sow farrow-to-finish herd in southwestern Ontario, with a presenting complaint of acute scours.
The pigs were stained with watery yellow feces. Postmortem findings revealed milk in stomachs, and large amounts of watery yellow fluid in small intestine and colon (Figure 1). Histology, bacteriology and virology were performed, the virology including a multiplex PCR test for porcine coronaviruses (porcine respiratory coronavirus (PRCV), TGEV and PEDV), as well as PCR testing for porcine rotaviruses A, B, and C.
All submitted colon samples were strongly positive on PCR testing for PEDV genome products. Bacteriology and other virology PCR tests did not reveal any other pathogens.
Histology was done on the gastrointestinal tract, and significant lesions were confined to the small intestines, where all 4 pigs had moderate to marked atrophy and fusion of intestinal villi (Figure 2). Immunohistochemistry for TGEV was negative. Atrophic enteritis is a non-specific lesion that is commonly associated with enteritis due to TGEV and rotaviruses (and now PEDV).
Surveillance work and the development of the porcine coronavirus multiplex real-time PCR test has been funded by the Ontario Ministry of Agriculture and Food because of concerns of the virus crossing from the USA into Canada and the need to detect its presence rapidly for control purposes. The test checks for (1) porcine coronaviruses (this primer will find TGEV and PRCV), (2) TGEV specifically, and (3) PEDV specifically. We have been performing this test since August 2013, and as of the end of February 2014 had tested about 2,000 specimens. We had, as of February 14, identified 14 other premises that are infected with PEDV.
Biosecurity is paramount in controlling the of spread of this organism. Please do not send neonatal pigs in for workups, we are very concerned about spread of the organism from the laboratory. Instead, please send only swabs – swabs with virus transport medium can be obtained from the lab. Please see our lab update note on our website for additional instructions – ahl.uoguelph.ca.
|
|
|
|
Figure 1. Watery yellow intestinal content in piglet with PED. |
Figure 2. Marked atrophy and fusion of intestinal villi in piglet with PED. |
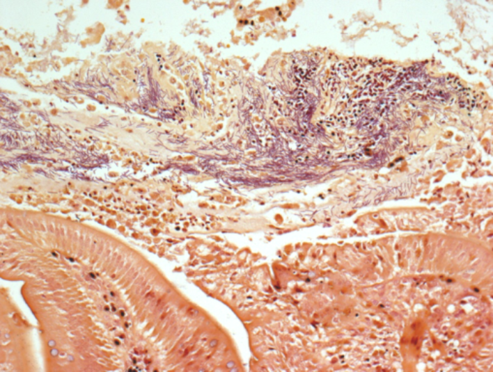
We receive occasional mail-in submissions of tracheitis in pigs (Figures 1, 2), or it is found at autopsy, often in association with other lesions. Traditionally, it has been suggested that influenza A virus (“swine influenza virus”, SIV) may be associated with this lesion, and SIV has been demonstrated in some reports. In 7 recent submissions, 4 were tested for SIV via immunohistochemistry or PCR, with no positive SIV results. Bacteriology revealed Streptococcus suis and Pasteurella multocida in 2 each of 4 cases, with Streptococcus porcinus, Trueperella pyogenes, Bordetella bronchiseptica and Streptococcus equisimilis also isolated. Silver stains for CAR bacilli (cilia-associated respiratory bacillus) were negative in the 1 submission tested. Tracheitis was always associated with some degree
|
|
|
|
Figure 1. Ulceration and formation of a fibrin plug in the trachea of a pig. |
Figure 2. Histology of Fig 1. |
A 75-sow herd had an increase in the number of sows not in pig over the previous 2 months. Two sows aborted, and no sows were off feed. The sows were group housed with a clean-up boar. Aborted fetuses were submitted on 2 occasions for a diagnostic workup.
The fetuses were moderately to markedly autolyzed, and accompanied by placenta. Crown-rump lengths ranged from 11 to 24 cm. Microscopically in both, there was moderate to severe placentitis and variable pneumonia. Bacteria were commonly seen in both tissues. Large numbers of Actinomyces hyovaginalis were isolated from the 2 samples cultured from the first submission (stomach content), and moderate to large numbers of Staphylococcus chromogenes was isolated from lung, stomach and placenta of the second submission. Testing for PRRSV, PCV-2, porcine parvovirus and mycotoxins was negative. Low titers to several Leptospira spp. serovars were present in the abdominal fluid of one of the abortion samples.
It is uncommon to see placentitis in swine cases submitted for autopsy (Figures 1 & 2). This, as well as the negative results for other tests, makes bacterial abortion the most likely diagnosis here. These bacterial pathogens may have been spread by the boar, or it may be that the free-housing resulted in more fighting, and allowed for nose to vaginal transmission between pigs.
We have recovered A. hyovaginalis from other submissions from sows with vaginal discharges, along with other organisms. The organism is relatively slow growing and may be easily overgrown by other vaginal flora on culture plates, so unless present in relatively pure culture, it may be missed. S. chromogenes is similar to Staphylococcus hyicus, and is also capable of producing exfoliative toxin.
Subsequent swabbing of 14 sows did not result in isolation of any additional A. hyovaginalis, however S. chromogenes was recovered from 1 sow. Other pathogens isolated included Streptococcus suis and Staphylococcus hyicus. When samples were collected, bite marks were noted on vulvas of several dry sows.

Figure 1. Neutrophils and fibrin over the maternal surface of the placenta (Actinomyces hyovaginalis).
The Ontario Racing Commission Death Registry has been in place for 11 years and continues to provide excellent data regarding the causes of morbidity and mortality in racehorses in this province. Fewer fracture cases were submitted from 2008 to 2012, but these are again receiving more attention. The breed distribution continues to be ~50:50 Standardbred:Thoroughbred, with occasional Quarter Horses. See Table 1 for summaries of diagnoses.
Table 1. Postmortem diagnoses of ORC Death Registry submissions by body system, 2003-2013.
|
Diagnosis by body system: |
2003 |
2004 |
2005 |
2006 |
2007 |
2008 |
2009 |
2010 |
2011 |
2012 |
2013 |
|
Fracture / limbs |
53 |
69 |
48 |
42 |
54 |
16 |
4 |
9 |
6 |
2 |
23 |
|
Fracture / other |
10 |
4 |
7 |
13 |
10 |
5 |
0 |
3 |
6 |
2 |
2 |
|
Non-fracture musculoskeletal |
8 |
6 |
6 |
8 |
6 |
5 |
2 |
3 |
1 |
0 |
3 |
|
Gastrointestinal |
15 |
19 |
17 |
16 |
18 |
5 |
4 |
7 |
5 |
6 |
4 |
|
Respiratory, including EIPH |
21 |
17 |
9 |
11 |
16 |
9 |
21 |
6 |
9 |
7 |
4 |
|
Cardiovascular |
5 |
6 |
5 |
5 |
2 |
4 |
6 |
2 |
4 |
1 |
7 |
|
CNS |
6 |
11 |
7 |
4 |
1 |
1 |
2 |
0 |
5 |
4 |
3 |
|
Integumentary |
0 |
0 |
1 |
2 |
2 |
1 |
1 |
0 |
0 |
0 |
0 |
|
Renal |
0 |
2 |
0 |
0 |
2 |
0 |
1 |
0 |
0 |
0 |
0 |
|
Hematopoeitic |
2 |
1 |
1 |
0 |
0 |
0 |
0 |
0 |
0 |
0 |
0 |
|
Whole body, e.g., septicemia |
1 |
7 |
5 |
2 |
9 |
0 |
4 |
0 |
6 |
6 |
2 |
|
Cause of death undetermined |
4 |
0 |
4 |
4 |
2 |
5 |
0 |
2 |
4 |
6 |
0 |
Total |
125 |
142 |
110 |
107 |
122 |
51 |
45 |
32 |
46 |
34 |
48 |
Focal duodenal necrosis (FDN) was first reported in a Pennsylvania cage-free layer flock in 1997. Since then, FDN has been reported in pullet and laying flocks, including organic, caged and cage-free flocks composed of all the major breeds throughout the United States. This report documents the identification of the first cases of FDN in several Ontario table-egg layer flocks.
The disease is typically associated with flocks in early lay with the most remarkable clinical finding being the production of smaller eggs. In addition, there can be a 0.5 to 1.0% decline in egg production or failure to reach peak production. Pale combs are sometimes reported, but elevated mortality is not.
Diagnosis is based on the identification of characteristic 0.5 to 1.5 cm single to multiple dark flat to slightly raised foci within the mucosa of the duodenal loop of recently euthanized birds (Figure 1) with the dark discoloration also visible through the serosa. Upon opening the affected duodenum, the odor of hydrogen sulfide has been described. Gross lesions can be few and subtle, so postmortems of birds dying naturally are less useful because of rapid autolysis of the intestine.
Histologically, the dark mucosal lesions are composed of small foci of acute superficial necrosis of the villus tips with luminal effusion of proteinaceous fluid and large numbers of heterophils accompanied by proliferation of large numbers of slender filamentous gram-positive bacteria that do not morphologically resemble Clostridium perfringens (Figures 2 & 3). Numerous heterophils also aggregate within the underlying superficial lamina propria
Presently, Clostridium colinum is considered to be the etiologic agent, however Koch’s postulates have not been proven. Clostridium perfringens may also be involved. Research groups in the US continue to pursue identification of the etiologic agent and future plans include vaccine development.
The pathogenesis is not known but, because the duodenum is not a site of high nutrient absorption, it is likely that nutrient digestion and iron absorption are impacted.
Treatment includes extended in-feed administration of antibiotics known to be effective against gram-positive anaerobic bacteria until production and egg size have returned to normal. Following the removal of the antibiotics, recurrence of the disease is possible. The effectiveness of prebiotics and probiotics and organic acids in prevention of FDN is being investigated.
Because focal duodenal necrosis cannot be reliably identified by postmortems of the daily mortality, periodic monitoring of flocks is required. Based on one of the authors’ (MP) clinical experience with FDN, this condition can be difficult to identify as not all hens will have well-developed lesions, entailing the examination of several freshly euthanized hens at each session. Other management, nutritional, and infectious causes of reduced egg size and production must be considered.
|
|
|
|
|
Figure 1: Diagnosis of FDN is based on the diagnosis of multiple small flat to slightly raised dark foci on the mucosa of the duodenal loop of a recently euthanized laying hen. Examination of duodenal loops of several hens is necessary. |
Figure 2: Histology of FDN. Focal necrosis of villus tips with luminal effusion of proteinaceous fluid and heterophils accompanied by large numbers of slender filamentous bacteria. |
Figure 3: The slender filamentous bacteria are gram-positive and do not morphologically resemble Clostridium perfringens. |
In October 2013, a 7-year-old Labrador retriever from the Ottawa region was euthanized due its worsening lameness and renal disease and poor prognosis, and was presented to the AHL for postmortem examination. The clinical history included lameness and pain affecting multiple limbs, lethargy, reduced appetite, enlarged peripheral lymph nodes, edema of the face and limbs, azotemia, hypoproteinemia, anemia, proteinuria and thrombocytopenia. The clinical signs began in late summer 2013 and a tick had been observed on the dog prior to the onset. The vaccination status (including Lyme disease) was up to date. The IDEXX SNAP® 4Dx® Plus Test was positive for Borrelia burgdorferi, indicating natural exposure to this agent.
At postmortem examination, every major joint in all 4 limbs contained increased amounts of watery synovial fluid consistent with polyarthritis. There was peripheral lymphadenopathy with enlargement of the prescapular, popliteal and submandibular lymph nodes and there was prominent subcutaneous edema of the head and all 4 limbs.
Although there was autolysis and freezing artifact, arthritis was observed histologically in most of the joints. The lesions varied from very mild mononuclear (lymphocytic) inflammation of the synovium or surrounding connective tissues to fibrinous arthritis (Figure 1). Some joints also had mild perineuritis and periarteritis, with rare acute fibrinoid vasculitis. The lymph nodes contained mild lymphoid hyperplasia. The adrenal glands also exhibited acute multifocal necrosis and mild lymphocytic inflammation. There was multifocal glomerulonephritis with vasculitis which explained the clinical renal problems in this dog. The vasculitis appeared to involve the afferent or efferent arterioles located at the hilar region of the glomeruli (Figure 2). Similar renal lesions have been described in a protein-losing nephropathy (Lyme nephropathy) encountered in a small percentage of seropositive dogs which develop clinical signs. Other components of Lyme nephropathy, such as diffuse tubular necrosis, were not evident in this case. The cause and pathogenesis of Lyme nephropathy are not understood, but an immune-mediated pathogenesis is suspected and Labrador and Golden retrievers may be predisposed.
A PCR assay for detection of B. burgdorferi and Anaplasma phagocytophilum was performed at the AHL on tissue from 2 inflamed joints, kidney, and skin. Positive and suspicious-positive PCR reactions for B. burgdorferi were detected in joint tissue and skin.
A final diagnosis of Lyme borreliosis was derived from the combination of clinical signs, history of tick exposure, positive SNAP® 4Dx® Plus Test, compatible gross and histological lesions, and the positive PCR results.
In Ontario, B. burgdorferi is transmitted by the bite of the blacklegged tick Ixodes scapularis. Established populations of this tick vector are located in the Long Point, Turkey Point, and Rondeau Provincial Parks, Point Pelee National Park, the Wainfleet Bog Conservation Area, the Prince Edward Point National Wildlife Area, and the Thousand Island region of the St. Lawrence River. Vector ticks feeding on migratory birds may be transported to other locations in the province. Once transmitted by the tick bite, B. burgdorferi has a predilection for skin, joints and connective tissues. Most exposed dogs (up to 95%) remain subclinical but some may develop clinical illness which usually involves arthritis, fever, lethargy and lymphadenopathy.
|
|
|
|
Figure 1. Fibrinous exudate in the right hock joint. |
Figure 2. Glomerulonephritis with fibrinoid vasculitis at the hilus. |