
OVC Researcher Reflects On Cancer-Related Clinical Trials For Pet Cancer Awareness Month
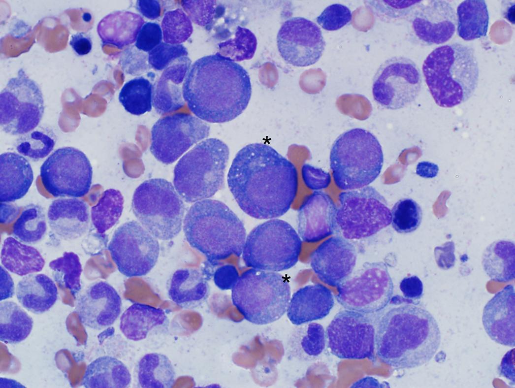
(Banner image: A microscopic image of a bone marrow sample from a dog with AML. The large blue cells (*) are neoplastic blast cells.)
In a follow-up to Pet Cancer Month, we are highlighting Q&A sessions with some lead investigators on ongoing clinical studies at the Ontario Veterinary College (OVC). Here, Dr. Dorothee Bienzle, researcher and professor in OVC’s Department of Pathobiology, discusses her cancer research.

Why is pet cancer research important to you and why did you choose to focus in this area?
Dogs are often diagnosed with cancer, and many of their cancers are very similar to those in people (and other species). We have made great strides in diagnosing and treating cancer in pets in the last decades, but there is room to do better. My diagnostic expertise and research strengths are in the area of blood cancer (hemolymphatic neoplasms), and I think I can make an impact in that area.
What is canine acute myeloid leukemia?
Acute myeloid leukemia (AML) is a blood cancer of relatively undifferentiated bone marrow precursor cells, cells that have not yet developed into specialized cells. Dogs (and other species) get many different types of leukemia. Some leukemias are fairly benign diseases while others are very aggressive. Acute myeloid leukemia is generally one of the more aggressive variants, although, in collaboration with my colleagues in the Ontario Veterinary College (OVC) Oncology Service, we have identified that some dogs with acute myeloid leukemia respond quite well to a specific combination of chemotherapy drugs.
How will blood and bone marrow samples for the canine acute myeloid leukemia study be used?
Cancer arises in cells from changes in the DNA such as mutations, deletions, duplications, and others. Some of these changes are typical of certain subtypes of cancer and can be used to predict the response to therapy and survival. In this study, we will sequence all of the DNA in cancer cells from dogs with acute myeloid leukemia, to identify the order of the chemical building blocks that make up the tumor DNA and compare that sequence to that of cells that do not have cancer. Therefore, we need to get bone marrow samples, since in acute myeloid leukemia most of the cancer cells are in the bone marrow rather than in blood.

What is your role in the canine acute myeloid leukemia study?
This study is a collaboration between veterinary researchers at Cornell University, the University of Georgia, Kansas State University, and a human medical researcher at the University of North Carolina. AML is not a common cancer, so my colleagues and I have joined forces to recruit at least 50 dogs with acute myeloid leukemia in order to arrive at statistically meaningful results.
How does a diagnosis with acute myeloid leukemia affect the patient and their family?
Acute myeloid leukemia is a challenging diagnosis to make. By the time the diagnosis has been established, affected dogs may be fairly sick, and a response to therapy may appear unlikely. Often dogs are euthanized as soon as there is a possible or definitive diagnosis of ‘leukemia.’
How would you describe the benefits of this research?
The intended benefits of this research are to:
- Convey the diagnostic features of AML more clearly to veterinarians and diagnosticians.
- Identify the features of acute myeloid leukemia in dogs that convey a particular (good or bad) prognosis, a prediction of the expected development and outcome of a disease.
- Educate dog owners about the different types of ‘leukemia’.
- Encourage dog owners to consider the possibility of treating dogs with AML.
Do you think findings from this study translate to benefit human medicine in the future? If so, please explain how.
Yes. Dogs have many advantages for studying disease genetics since most dog breeds have limited genetic diversity relative to people. Therefore, the ‘background noise’ of genetic variability in dogs is less than in humans, and we hope that will help us identify mutations, abnormal alterations in the genetic code, that are drivers in acute myeloid leukemia. Such information would be very useful to veterinary and human medicine to improve diagnosis and treatment.
Why do you think improving current understandings of acute myeloid leukemia prognosis is important?
For many people, the term ‘leukemia’ conveys an instantaneous fear of an untreatable cancer and looming death. However, leukemia is a variable cancer, and we hope to show that some types of acute myeloid leukemia have a reasonable to good prognosis.
How can owners of a dog with a diagnosis of acute myeloid leukemia or myelodysplastic syndrome participate in this study? Are there benefits to participating for the owner?
Owners are invited to contact me directly if their dog has received a diagnosis of ‘leukemia’ (I answer every e-mail directed to me personally). Many leukemias will be of the chronic lymphocytic leukemia (CLL) type, which has a good prognosis. Some will be acute myeloid leukemia, and others will be more chronic, long-term and slower progressing, types of myeloid leukemia.
I will first help owners and their family veterinarians sort out what type of leukemia their dog has. If the dog has acute myeloid leukemia, and the owners wish to participate in this study, a bone marrow biopsy will be taken. Bone marrow biopsy is a special procedure that generally only veterinary specialists will perform, therefore the dog will need to be referred to OVC or another veterinary referral hospital. I will work with the veterinarians at the referral hospital to guide them in acquiring appropriate samples. The samples will be analyzed (free of charge) by specialized tests such as flow cytometry and cytochemistry, and DNA will be extracted for sequencing.
Benefits to owners for participating in the study are firstly that they and their dog are contributing to research that will, in the future, help other dogs with AML. That is big. Other benefits are that the information from this research will be shared with owners, helping to inform specialized health care plans for their dog. We welcome owners as active participants in this research. Financial assistance with the cost of diagnostic procedures is also a benefit.
Who is currently funding this research?
We are very appreciative of funding from OVC Pet Trust for studies on acute myeloid leukemia (“Devising a meaningful classification scheme for canine myelodysplastic syndrome and acute myeloid leukemia”) We have also recently been awarded funds from the American Kennel Club in partnership with Cornell University.
