Branching out to the suburbs - Hepatobiliary ascariasis in a Kunekune piglet
Heindrich N. Snyman
Animal Health Laboratory, University of Guelph, Guelph, ON.
AHL Newsletter 2025;30(1):18.
A 3-month-old, intact male, Kunekune piglet was found dead and submitted for postmortem evaluation and diagnostic testing at the Animal Health Laboratory. The piglet originated from a small-scale backyard pig herd where it was noted that the current crop of weaners was exhibiting poor appetite with perceived slower than expected growth. All piglets are vaccinated with tetanus at birth and received iron injections as standard new-born piglet management. Piglets are housed inside in group pens and fed dry hay and commercial mash with occasional table scraps. Apart from a single unexpected mortality of a one piglet from a separate litter ~ 2 weeks prior, all piglets appeared otherwise normal without any obvious clinical symptoms.
On postmortem examination the piglet was dehydrated with decreased subcuticular and visceral fat stores. The proximal small intestinal loops were segmentally dilated and firm on palpation and the liver lobes contained numerous individual and often coalescing, tan-white, firm pseudo-cystic nodules that often protruded a short distance above the capsular surface (Fig. 1). The proximal duodenum was incised, and its lumen and the trailing common bile duct were distended by abundant numbers of densely packed adult ascarid nematodes (Fig. 2). The nematodes extended throughout the hepatic biliary tree, dilating the ductular network throughout all hepatic lobes and forming irregular, 0.5-1.9 cm diameter, pseudo-cystic nematode-filled pockets that corresponded to the raised hepatic parenchymal nodules (Fig. 3).
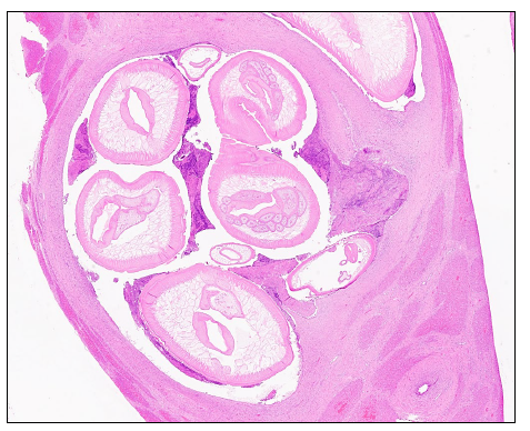
On histological examination, there was widespread biliary dilation with ductular profiles ranging from ~ 2.1-11.3 mm diameter wide, and with the luminal spaces being filled with and dilated by innumerable cross, tangential, and longitudinal sections of adult nematode parasites (Fig. 4 & 5). Nematodes ranged from 0.7-2.5 mm diameter and contained a smooth thick outer cuticle with a thick band of coelomyarian musculature, large butterfly-shaped lateral cords, and pseudocoelom with central prominent tall columnar uninucleated cell lined intestinal tract, and occasional mature ovaries (Fig. 5). These features were consistent with that of an ascarid nematode. The biliary mucosal lining was often circumferentially ulcerated with surrounding 0.3-1.1 mm wide bands of peri-biliary fibrosis and with luminal and mural mixed neutrophilic, eosinophilic, histiocytic, and lymphocytic inflammatory infiltrates suggesting secondary ascending bacterial infection.
Ascariasis is the most common parasite infection in pigs worldwide and is usually associated with Ascaris suum. Infections are typically enteric in nature with hepatic involvement usually being restricted to early phases of the life cycle with hepatic-pulmonary migration of the L3 larval stages resulting in visceral larval migrans and the more familiar “milk spot liver”. The intra-hepatic localization of adult ascarid nematodes is considered particularly unusual and there are only a few reports of adult ascarid migration along the hepatobiliary tree in pigs - one almost 75 years ago and another recent similar presenting commercial pig from a slaughterhouse in Italy. Extension of adult ascarid nematodes along the biliary tree has also only rarely been reported in other animal species, Toxocara vitulorum in a buffalo and Parascaris sp. in a foal. Although a rare event, biliary ascariasis caused by Ascaris lumbricoides in humans is a well-documented complication and is recognized as the cause for a significant proportion of biliary and pancreatic diseases in endemic areas of the world. It is presumed that migration up the biliary tract may be a function of particularly heavy parasitic burdens, with worms simply trying to find a piece of real estate in which to reside after the intestinal luminal space is no longer freely available. Although such heavy burdens are far more likely to result in other catastrophic gastrointestinal complications, e.g., obstruction, torsions/volvulus and/or rupture, hepatobiliary obstructions should also be considered as a possible sequalae in ascarid infections in pigs.

Figure 1. Postmortem findings in a Kunekune piglet. The proximal duodenum is distended and firm and the liver contains numerous tan-white, firm pseudo-cystic nodules that protrude above the capsular surface.

Figure 2. Postmortem findings in a Kunekune piglet. Abundant numbers of adult ascarid nematodes are present within the proximal duodenum with extension along the common bile duct (arrow). The gall bladder is collapsed and empty (asteriks).

Figure 3. Formalin-fixed samples from the affected liver lobes in a Kunekune piglet. Nematodes extend throughout the biliary tree forming dilated pseudo-cystic nematode packed pockets.

Figure 4. Histological findings in a Kunekune piglet with hepatobiliary ascariasis. There is widespread biliary ductular dilation with luminal spaces filled with innumerable cross, tangential, and longitudinal sections of adult nematode parasites. H&E stain.

Figure 5. Histological findings in a Kunekune piglet with hepatobiliary ascariasis. Nematodes contain morphological features consistent with an ascarid nematode, and are associated with both luminal debris/exudate and mural inflammation. H&E stain.
References
1. Tamponi C, et al. Hepatobiliary ascariasis in a piglet. Acta Parasitol. 2024 Feb 29;69(1):785–790.
2. Prchal C. Postmortem condemnations resulting from migratory ascarids in hogs. J Am Vet Med Assoc. 1953;122:42–44.
3. Srivastava A, Sharma D. Studies on the occurrence, clinical features and pathomorphological aspects of ascariasis in buffalo calves. Vet Res J. 1981;4:160–162.
4. Sazmand A, et al. Biliary parascarosis in a foal. Vet Med Sci. 2023;9:1149–1153.
5. Das AK. Hepatic and biliary ascariasis. J Glob Infect Dis. 2014;6:65–72.