Congenital hypothyroidism and dysmaturity syndrome in a Dutch warmblood foal
Emily Rätsep, Carole Michon
Animal Health Laboratory, University of Guelph, Kemptville, ON (Rätsep), Russell Equine Veterinary Service, Russell, ON (Michon).
AHL Newsletter 2022;26(3):24.
A Dutch warmblood foal was born weak and could not stand. On physical examination, there was marked mandibular prognathism and incomplete ossification of the cuboidal and tarsal bones. The foal was euthanized for suspected congenital hypothyroidism and dysmaturity syndrome.
The mandibular prognathism was notable on postmortem examination with marked protrusion of the mandible, approximately 2.0 cm relative to the maxilla. The lobes of the thyroid gland were also notably enlarged, measuring approximately 6.0 cm x 4.0 cm x 3.0 cm bilaterally. The tarsal and cuboidal bones appeared largely composed of cartilage grossly. Otherwise, no significant gross findings were observed.
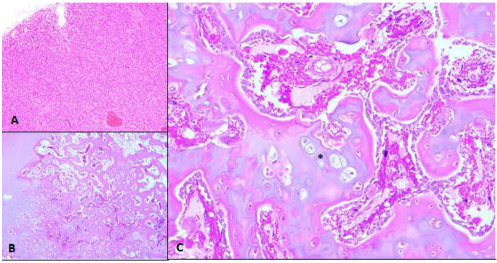
On histology, the lobes of the thyroid gland were expanded by hyperplastic follicular epithelial cells forming variably sized follicular structures (Fig. 1A), and the bones of the carpus were composed predominantly (>60% of newly formed endochondral trabecular bone) of hyaline cartilage (Figs. 1B, 1C). These findings are consistent with hyperplastic goiter (congenital hypothyroidism) and delayed endochondral ossification.
Prolonged gestation, dystocia and retained placenta have been associated with hypothyroidism in affected neonates. Foals are born weak, unable to stand, and often die within days of birth. Grossly in these cases, the thyroid gland is of normal size or mildly enlarged. Thyroid hyperplasia and musculoskeletal deformity (or congenital hypothyroidism and dysmaturity syndrome - CHD) is a recognized syndrome of neonatal foals in North America and Europe. The reported deformities include flexural deformities of the limbs, mandibular prognathism, muscular weakness and delayed endochondral ossification, three of which features were observed in this case.
In animals generally, congenital hypothyroidism is usually a result of inadequate maternal thyroid hormone crossing the placental barrier during in utero development. As a result, the fetal pituitary gland secretes TSH, causing hyperplasia of the thyroid tissue, commonly called goiter. While adult horses are capable of autoregulating thyroid function in the face of abnormal iodine levels, the fetal thyroid gland lacks this ability. Thyroid function will be permanently altered if abnormal iodine intake is present, resulting in congenital hypothyroidism. In the case of CHD, the exact cause is not determined, although dietary causes, toxins and infectious agents have all been suggested. Risk factors for CHD in pregnant mares include ingestion of immature cereal crops, ingesting forages containing nitrites, lack of supplementary minerals (including diets low in iodine), travel during the last 2 trimesters of gestation, and grazing of irrigated pastures.
Prognosis for foals with CHD is generally poor, with euthanasia often elected within several days of birth. The actual underlying cause remains undetected in most cases; therefore, prevention by identifying and resolving specific problems, and provision of supportive care are the only management strategies available at this time. AHL

Figure 1. Bone and thyroid gland in a Dutch warmblood foal. A. Hyperplastic follicular epithelium in the thyroid gland. B, C. Cuboidal bone histology (B - 4x, C - 20x) with incompletely ossified endochondral bone composed of a high proportion of hyaline cartilage (*). H&E stain.
References
1. Koikkalainen K, et al. Congenital hypothyroidism and dysmaturity syndrome first reported cases in Europe. Equine Veterinary Education 2014;26(4):181-198.
2. Frank N, et al. Equine thyroid dysfunction. The Veterinary Clinics: Equine practice 2002;18: 305-319.
3. Allen AL. Congenital hypothyroidism in horses: looking back and looking ahead. Equine Veterinary Education. 2014;26(4):190-193.