The diagnosis of yellow fungus in bearded dragons
Emily Martin, Heindrich Snyman and Durda Slavic
Animal Health Laboratory, University of Guelph, Guelph, ON.
AHL Newsletter 2025;29(4):15
The disease commonly referred to as ‘yellow fungus disease’ in bearded dragons has had the classification of its causative agent evolve over time as further molecular techniques have been used for identification. Formerly classified as Chrysosporium anamorph of Nannizziopsis vriesii (CANV), we now know that fungi in this group now belong to the genera Nannizziopsis, Paranannizziopsis and Ophidiomyces. As these keratolytic fungal species are difficult to distinguish based on their morphology, AHL keeps reporting them as CANV complex. For further speciation of the CANV complex members, molecular techniques are required.
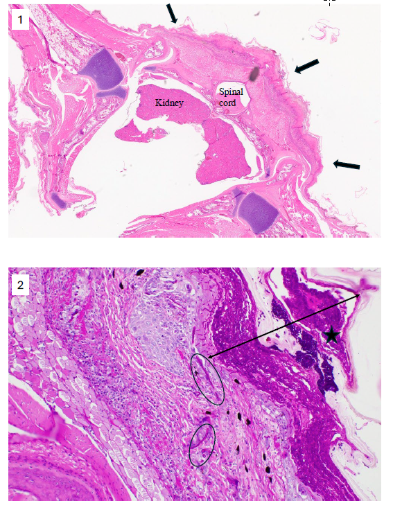
Nannizziopsis guarroi is considered the primary causative agent of yellow fungus disease in bearded dragons. The disease initially presents as yellow discolouration of the scales on various areas of the body, progressing to dark necrotic areas (Fig. 1). The infection progresses from superficial skin lesions to deep granulomatous dermatitis, potentially disseminating to multiple organs and resulting in death (Fig. 2).
Recently, AHL has received skin biopsies requesting screening for ‘yellow fungus’ without additional samples for mycology. In early clinical cases, it can be difficult to identify fungus in the superficial crusts or keratin layers of the skin samples, especially if sloughing has occurred during tissue collection, fixation or processing. Also, a special stain is often required to confirm the fungal structures on histology. Many other opportunistic fungal organisms can also colonize skin lesions (e.g., hyalohypho-mycotic fungi such as Paecilomyces sp., Fusarium sp., Aspergillus sp., Penicillium sp., etc.) and can further complicate the histological diagnosis of fungal skin disease in reptiles. For a complete diagnosis we recommend sending skin for both histology and mycology.

Histological changes associated with an inland bearded dragon (Pogona vitticeps) with yellow fungus disease. Figure 1. H&E-stained cross section of the rostral pelvic cavity and caudal body. The dorsal midline contains a large region of full thickness epidermal ulceration that is overlain by a thick surface crust of necrotic keratin debris (arrows). Figure 2. PAS-stained higher magnification of the ulcerated region and crust. The crust (double-headed arrow) is widely permeated by a dense mat of deep magenta hyaline fungal hyphae that extend into the exposed inflamed dermis (ovals). Abundant clusters of spores are present along the outer debris (star) which represent a significant source for environmental and fomite contamination and transmission.
References
1. Cabañes FJ. Mycoses are emerging in reptiles, Rev Iberoam Micol. 2019;36(4):173-174.
2. Cabañes FJ, et al. Chrysosporium-Related Fungi and Reptiles: A Fatal Attraction. PLoS Pathog 2014;10(10): e1004367. https://doi.org/10.1371/journal.ppat.1004367
3. Sigler L, et al. Molecular Characterization of Reptile Pathogens Currently Known as Members of the Chrysosporium Anamorph of Nannizziopsis vriesii Complex and Relationship with Some Human-Associated Isolates. J Clin Microbiol 2013;51(10):3338-57. https://doi.org/10.1128/jcm.01465-13
4. Pare JS, Conley KJ. Ch.12 Mycotic Diseases of Reptiles. In: Diseases and Pathology of Reptiles, 2nd ed Vol. 1: Infectious Diseases and Pathology of Reptiles. Jacobsen E, Garner M, eds. CRC Press, 2020:800-810.