Disseminated blastomycosis in a llama
Dominique Comeau
Animal Health Laboratory, University of Guelph, Guelph, ON.
AHL Newsletter 2025;30(1):15
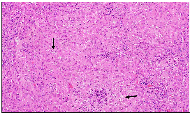
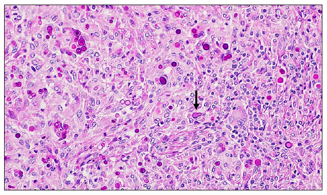
A nine-year-old llama with a history of chronic weight loss and poor condition was euthanized, and an on-farm postmortem examination revealed a large mass between the kidneys and numerous nodules throughout the lungs. Formalin-fixed tissue samples were submitted to the Animal Health Laboratory to investigate a possible metastatic adrenal neoplasm. Histologically, the mass in the abdomen was composed nearly entirely of variably mature fibrous tissue with abundant inflammation made up of macrophages, neutrophils, eosinophils, cellular debris, and fibrin. The nodules in the lung were a similar mixture of inflammation encapsulated within fibrous tissue. Within all of these masses there were innumerable extracellular, round, 10-to-20-micron diameter yeasts with a thick, double contoured wall and large basophilic nucleus (Fig. 1). On occasion, broad-based budding could be seen, which was highlighted by a Periodic acid-Schiff stain (Fig. 2). This morphology was considered diagnostic for blastomycosis.
Blastomycoses dermatitis is a thermally dimorphic fungus which is endemic in the areas surrounding the Great Lakes and the Saint Lawrence riverway. The most commonly-affected species include dogs and humans; direct transmission between animals or between animals and people is not reported. The organism exists as a mold at environmental temperatures. When the mold is disturbed, such as by disruption of the soil, conidia can be inhaled. Once exposed to body temperature, this fungus transforms to its yeast form and causes a pyogranulomatous pneumonia. The disease can remain contained to this initial site or can spread systemically through the lymphatics. The skin is a common site for dissemination, as well as being a potential site of primary infection. Spread to the lymph nodes, eye, brain, and bones is reported relatively commonly. In this llama, a primary pulmonary infection with spread to the abdominal lymph node(s) was considered the most likely pathogenesis. There was insufficient unaffected tissue in the abdominal mass to confirm if it had been a lymph node.
Blastomycosis is rarely reported in camelids; pneumonia has been reported in a llama and disseminated disease in an alpaca. In the alpaca case the lung, liver, spleen, kidney, colon, stomach, lymph nodes, brain, and skull were affected. Blastomycosis is an unusual but important differential diagnosis for pneumonia or systemic disease presentations in camelids in endemic regions, including Ontario. Care should be taken when performing postmortem examinations on camelids with pulmonary nodules, as direct inoculation of the skin is a described pathogenesis for infection in humans.

Figure 1. Pyogranuloma in the lung containing numerous fungal organisms (arrows). Hematoxylin and eosin stain, 400X magnification.

Figure 2. Multiple yeast organisms surrounded by pyogranulomatous inflammation and fibrous tissue making up the intra-abdominal mass. Broad-based budding is captured in section (arrow). PAS stain, 400X magnification.
References
1. Jankovsky JM, Donnell, RL. Blastomyces dermatitidis pneumonia in a llama. Journal of Veterinary Diagnostic Investigation. https://doi.org/10.1177/1040638717753496
2. Imai, DM, et al. Disseminated Blastomyces dermatitidis, Genetic Group 2, infection in an alpaca (Vicugna Pacos). Journal of Veterinary Diagnostic Investigation. 2014;26(3):442–447. https://doi.org/10.1177/1040638714523773.