Eimeria macusaniensis (E-Mac) intestinal coccidiosis causing acute fatal neurologic disease in an alpaca
Rebecca Egan, Jacob Avula, Mike Krystolovich
Animal Health Laboratory, University of Guelph, Guelph, ON (Egan, Avula); Upper Grand Veterinary Services, Guelph, ON (Krystolovich).
AHL Newsletter 2022;26(3):10.
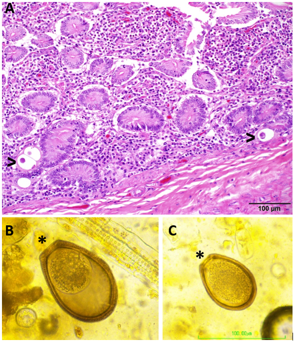
Approximately three weeks after giving birth to a healthy cria, a ten-year-old female alpaca was presented to the herd veterinarian for acute recumbency with neurological signs including nystagmus, lack of menace response and lack of pupillary light reflexes. The animal was euthanized and presented to the AHL for postmortem examination, which revealed thin body condition, scleral injection, marked pulmonary edema with congestion, multiple subacute to chronic renal infarcts occupying less than 20 to 30% of the kidneys, and ample red-brown liquid small intestinal contents with progressively formed feces in large intestine and rectum. Gross inspection of the brain did not reveal any parasites and the parenchyma did not fluoresce under UV light. Pertinent histologic findings included eosinophilic to necrotizing enteritis with coccidial organisms surrounded by a large clear parasitophorous vacuole among enterocytes (Fig. 1A), diffuse pulmonary congestion and edema with thrombi, moderate hepatic lipidosis, and multiple subacute to chronic renal infarcts. There were no discernable microscopic lesions in brain (e.g., no overt cortical laminar necrosis, parenchyma necrosis, or inflammation) to suggest polioencephalomalacia, viral or parasitic infection.
This herd was being managed on pasture with hay and small amounts of grain, and this alpaca was vaccinated against clostridial disease two months prior to the onset of clinical signs. With the constellation of clinical, gross and microscopic findings, it was determined that this animal’s rapid clinical decline with progression to seizure was very likely incited by metabolic disturbance and circulatory shock stemming from coccidiosis. Toxemia stemming from loss of the intestinal mucosal barrier and/or proliferation of clostridia with enterotoxin production could not be fully excluded as an alternative possibility, but histology did not reveal enteric or brain lesions typical of clostridial enterotoxemia.
In llamas and alpacas, several Eimeria spp. are considered non-pathogenic, with shedding of large numbers of oocysts by asymptomatic animals; however, Eimeria macusaniensis (E-Mac) is a well-established cause of clinical disease in adult camelids, in which diarrhea may or may not be present, and sudden death is a common presentation. The exact pathogenesis of fatal coccidiosis has not been fully elucidated, but rapid clinical deterioration in the face of metabolic derangements (including hyperglycemia, hypoalbuminemia, ketonemia and hypothermia) and circulatory collapse have been described. Host immune responses (or immunocompromise associated with pregnancy) and environmental exposure play a role in transmission and disease severity; therefore, assessment of other alpacas on this farm for evidence of diarrhea/loss of body condition and review of environmental hygiene was recommended. Fecal examination of several herd-mates revealed the presence of E-Mac oocysts (Fig. 1B, 1C) along with non-pathogenic Eimeria spp. and a variable number of GIN eggs. E-Mac has a long pre-patent period, so it is important to note that animals can develop disease prior to detection of oocysts in feces. Moreover, the shedding of large heavy oocysts in low number means that multiple fecal examinations using a sensitive centrifugal flotation technique with high density sucrose solution (specific gravity of approximately 1.3), such as the Cornell-Wisconsin method, is preferred. AHL

Figure 1. A. Histologic section (20x) of small intestinal mucosa containing eosinophilic inflammation and multiple coccidial organisms surrounded by a prominent parasitophorous vacuole within crypt epithelium (>). H&E stain. B, C. Fecal examination using the Cornell-Wisconsin method identified large (up to 110 um by 84 um) pyriform-shaped E-Mac oocysts that exhibit a thick (8.3 to 11.4 um) brown wall and with a micropyle and micropylar cap (*).
References
1. Cebra CK, et al. Eimeria macusaniensis infection in 15 llamas and 34 alpacas. J Am Vet Med Assoc. 2007;230(1):94-100. doi: 10.2460/javma.230.1.94. PMID: 17199499.
2. Dubey JP. A review of coccidiosis in South American camelids. Parasitol Res. 2018;117(7):1999-2013. doi: 10.1007/s00436-018-5890-y. Epub 2018 May 26. PMID: 29804192; PMCID: PMC7088017.
3. Johnson AL, Stewart JE, Perkins GA. Diagnosis and treatment of Eimeria macusaniensis in an adult alpaca with signs of colic. Vet J. 2009;179(3):465-7. doi: 10.1016/j.tvjl.2007.10.012. Epub 2007 Nov 26. PMID: 18036857.
4. Palacios CA, et al. Eimeria macusaniensis and Eimeria ivitaensis co-infection in fatal cases of diarrhoea in young alpacas (Lama pacos) in Peru. Vet Rec. 2006;158(10):344-5. doi: 10.1136/vr.158.10.344. PMID: 16531584.