Equine ocular habronemiasis
Siobhan O’Sullivan
Animal Health Laboratory, University of Guelph, Guelph, ON.
AHL Newsletter 2025;29(4):24
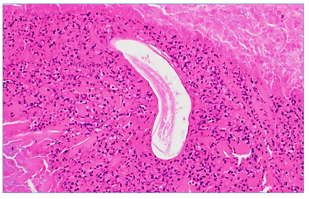
A sore developing at the medial canthus of a horse’s eye was biopsied. Histopathology identified multiple cross sections of poorly preserved nematodes in the necrotic tissue of the sore (Fig 1.), consistent with Habronema sp. spirurid worms, leading to a diagnosis of ocular habronemiasis.
In this parasitic disease, the nematode is spread fecal-orally through a fly intermediate host which deposits larvae at the oral mucous membranes so that swallowed larva may grow to maturity in the stomach. However, sites of predilection for aberrant larva deposition include any moist area of skin, including the medial canthus of the eye, the penis, and cutaneous wounds. The result is a robust granulomatous and eosinophilic inflammatory response, necrosis, and a sore to nodular and pruritic lesion of granulation tissue at the affected area. Mineralized to caseous white/yellow foci are often appreciable on cut section of the lesion. Due to the need for a fly intermediate host, the lesions tend to be seasonal (summer sores) and fly control methods, insecticides, dewormers and fly masks are among the useful preventatives. Debulking of the granulation tissue, and topical ivermectin and glucocorticoids may be used as therapy, although in some cases there can be prolonged healing

Figure 1. Equine, conjunctiva. The necrotic remnants of an elongate spirurid nematode. H&E stain
References
1.Gerhold RW. Cutaneous habronemiasis in animals [Internet]. The Merck Veterinary Manual. 2025. [cited 2025 November 06]. Available from: https://www.merckvetmanual.com/integumentary-system/helminths-of-the-skin/cutaneous-habronemiasis-in-animals.
2. Purh DG, Hu X, Blagburn B. Habronemiasis: Biology, signs, and diagnosis, and treatment and prevention of the nematodes and vector flies. J Eq.Vet.Sci 2014;34(2):241-248.