Hemorrhagic pneumonia in mink due to Pseudomonas aeruginosa
Andrew Brooks, Siohban O’Sullivan
Animal Health Laboratory, University of Guelph, Guelph, ON
AHL Newsletter 2025;30(1):25.
This winter, the AHL received two submissions of farmed mink for postmortem examination. The submissions involved different premises but shared a similar history of increased mortality, sudden death, and bleeding from the nose and mouth. The age of the affected animals ranged from 7-12 months of age.
At postmortem examination, the findings in the mink were similar. The lungs exhibited red discoloration, consistent with congestion and hemorrhage, and a rubbery to firm texture. Approximately 25-100% of the lung tissue was affected. Upon cutting the lungs, bloody fluid and froth oozed from the parenchyma and from the airways. The tracheal mucosa was congested and some of the lung lobes sank in the formalin. There was also congestion of the mediastinal tissue and spleen, and some livers had orange-brown discoloration. No other significant gross lesions were noted.
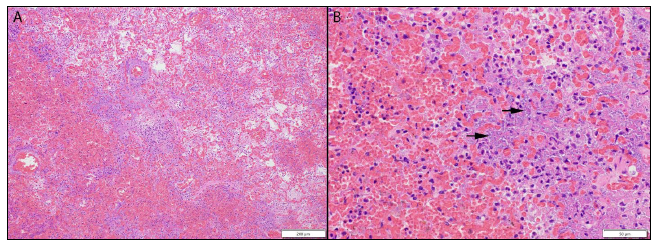
Histologically, there was marked pulmonary congestion and hemorrhage which was accompanied by numerous bacterial bacilli within the pulmonary interstitium and airways. Some areas of lung had confluent regions of acute pneumonia with infiltrates of neutrophils, necrosis, hemorrhage, fibrin and bacteria (Fig. 1).
Bacterial culture of the affected lung tissue isolated large numbers of Pseudomonas aeruginosa from all animals; in one animal there were also lower numbers of Streptococcus canis. The Pseudomonas isolates were resistant to a broad range of antibiotics. PCR tests for influenza A virus (performed on 1 submission) and mink Aleutian disease virus were negative. The gross and histopathological lesions along with the isolation of Pseudomonas aeruginosa confirmed the diagnosis of hemorrhagic pneumonia.
Hemorrhagic pneumonia in farmed mink is most often due to Pseudomonas aeruginosa although similar lesions have been associated with hemolytic E. coli. Hemorrhagic pneumonia is a major cause of mortality in mink. Outbreaks tend to occur in the fall and winter months, and all ages may be affected. Mink with hemorrhagic pneumonia may exhibit a bloody discharge from the nose or mouth or they may die suddenly with minimal clinical signs. At postmortem examination, severe hemorrhagic pneumonia is the characteristic lesion, and the diagnosis is confirmed by bacterial culture. In response to an outbreak of hemorrhagic pneumonia, control measures may include vaccination and thorough cleaning and disinfection of the premises. For one of these submissions to the AHL, the isolates of P. aeruginosa were used to prepare an autogenous vaccine.

Figure 1. A. Acute severe hemorrhagic pneumonia in mink due to Pseudomonas aeruginosa. B. Note the widespread hemorrhage in the lung tissue and numerous bacteria (arrows). H&E stain.
References
1. Salomonsen CM, et al., Comparison of histological lesions in mink with acute hemorrhagic pneumonia associated with Pseudomonas aeruginosa or Escherichia coli. Can J Vet Res. 2013 Jul;77(3):199-204.
2. Turner PV, Bacterial Diseases of Mink, in Merck Veterinary Manual. Sept. 2024
https://www.merckvetmanual.com/exotic-and-laboratory-animals/mink/bacterial-diseases-of-mink