Intestinal T-cell lymphoma in an African pygmy hedgehog
Heinrich Snyman, Rebecca Egan, Amy Gaw
Animal Health Laboratory, University of Guelph, Guelph, ON (Snyman, Egan), Temiskaming Animal Hospital (Gaw)
AHL Newsletter 2023;27(4):17.
An approximately 2-year-old female African pygmy hedgehog (Atelerix albiventris) stopped eating over a 3-week period, developed mucoid, dark green-black tarry stool, and progressively became more listless and weaker. No other abnormalities were detected on physical examination and whole-body radiographs and ultrasound did not detect any abnormalities or obvious signs of a tumour. CBC showed a moderate leukocytosis with a mature neutrophilia, suspected toxic changes, and a moderate regenerative anemia. No abnormalities were detected on standard biochemistry profile. Given the neutrophilia and tarry stool, a possible bacterial infection was considered, and a course of antibiotic therapy (enrofloxacin and amoxicillin/clavulanic acid) as well as prednisone was prescribed.
The hedgehog’s clinical condition deteriorated, and she was humanely euthanized with pentobarbital in the caudal jugular vein. An in-clinic postmortem identified hepatic lipidosis with the liver being grossly enlarged and yellow, and cut sections floating in formalin. The intestinal tract appeared thickened and was diffusely distended with clear, sometimes green, mucoid luminal fluid. Representative formalin-fixed tissue samples were taken and submitted to the Animal Health Laboratory for further analysis.
Histological sections of the intestinal tract revealed some segments with large, dilated villus tips typified by interstitial edema of the lamina propria and prominent lacteal lymphangiectasia (Fig. 1A & inset). Other segments contained marked expansion of the lamina propria of individual villi and mucosal folds by a dense infiltrate of small neoplastic lymphocytes (Fig. 1B). Neoplastic lymphocytes often extended into the adjacent and overlying mucosa, forming small clusters of intra-epithelial lymphocytes (Fig. 1C). Infiltration of the lamina proprial gut-associated lymphoid aggregates with crowding and compression of the deep mucosal crypts was also present (Fig. 1D). These findings were consistent with a diagnosis of intestinal lymphoma with lymphangiectasia occurring as a secondary consequence due to regional obstruction of villus lacteals. Additional histological findings included anorexia-associated hepatic lipidosis, and rare foci of villus tip mucosal erosion explaining the neutrophilia and tarry feces.
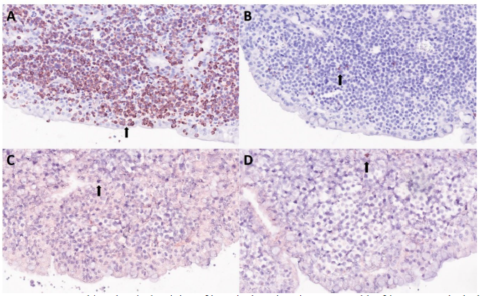
Hemolymphatic tumours are considered the second-most common neoplasm in hedgehogs (~ 11% of all neoplasms), with the intestinal tract being frequently involved. A retroviral cause has been suggested for hedgehog lymphoma; however, this has not yet been proven. A T-cell phenotype is most common for intestinal lymphomas in other domestic animals; however, this has not been particularly investigated in this species. As such, additional immunohistochemical (IHC) stains for T-lymphocyte (CD3) and B-lymphocyte (CD20, PAX5 and CD79a) markers were performed to further classify the lymphoma in this case (Fig. 2). Neoplastic lymphocytes exhibited positive immunoreactivity to CD3 antibodies and were negative for CD20, PAX5 and CD79a, consistent with a T-cell phenotype in this hedgehog. Regional gut-associated and visceral lymphoid tissues acted as positive internal controls. As they exhibited the expected staining patterns, these results further confirmed the utility of these markers in this species.

Figure 1. Histological findings in a 2-year-old African pygmy hedgehog with intestinal T-cell lymphoma. A. Intestine. Villus tips contain prominent dilated lacteals that contain fine flocculent proteinaceous fluid (inset). H&E stain. B. Intestine. There is diffuse neoplastic lymphocyte infiltration of the lamina propria that fills and obscures the villus outlines. H&E stain. C and D. Intestine. Neoplastic lymphocytes extend into the surface mucosal layer forming jumbled clusters while lamina propria is also expanded by the same neoplastic lymphocytes. H&E stain.

Figure 2. Immunohistochemical staining of intestinal sections in a 2-year-old African pygmy hedgehog with intestinal T-cell lymphoma. A. Neoplastic lymphocytes within the lamina propria as well as intra-epithelial lymphocyte clusters (arrow) show strong positive membranous immunoreactivity, consistent with T-cell lineage. CD3 stain. B. CD20, C. CD79a, and D. PAX5 stains. Neoplastic lymphocytes fail to show immunoreactivity with few to rare individual immunoreactive B-lymphocytes (arrows) being scattered in the background.
References
1. Raymond JT, Clarke KA, Schafer KA. Intestinal lymphosarcoma in captive African hedgehogs. J Wildl Dis 1998;34(4):801-6.
2. Heatley J, et al. A review of neoplasia in the captive African hedgehog (Atelerix albiventris). Seminars in Avian and Exotic Pet Medicine 2005;14(3):182-192.