Mast cell tumour in a Dutch Warmblood horse

Andrew Brooks 

 

Animal Health Laboratory, University of Guelph, Guelph, ON. 

 

AHL Newsletter 2020;24(2):19. 

 

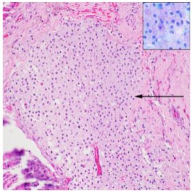
A biopsy was submitted to the AHL from a 3-year-old female Dutch Warmblood horse that presented with a firm painful cutaneous swelling on the back. Histopathology of the lesion revealed a subcutaneous mass composed of a monotypic population of round cells (Fig. 1). The round cells were arranged in densely cellular sheets and aggregates that were interspersed with eosinophils, necrotic tissue and fibrous stroma. The cells had uniform oval nuclei, abundant cytoplasm, and cytoplasmic granules that stained metachromatically with toluidine blue. No mitotic figures were observed in ten-400X high-powered fields. The round cells extended to the margin of the biopsied tissue. Immunohistochemistry for the tyrosine kinase receptor KIT (CD117) revealed positive cell membrane staining of the round cells (Fig. 2). The cell morphology, metachromatic granules and positive immunostaining for KIT supported a diagnosis of mast cell tumor. 


Mast cell tumors (MCT) in horses (also called equine cutaneous mastocytoma or mastocytosis) are uncommon and comprise between 2-10% of equine cutaneous and mucocutaneous neoplasms. A search of the AHL database over the past decade identified 20 equine pathology submissions with a diagnosis of MCT. These involved mostly Warmblood (n=8) and Arabian horses (n=6). Age at the time of diagnosis ranged from 3 to 24 years and the majority were geldings (n=14). Clinical descriptions were incomplete for most submissions, but many of the horses had solitary tumors involving the skin or subcutaneous tissue. Tumor location included the neck (n=5), limbs (n=5), trunk (n=3), nostril (n=2), anus (n=1), and lymph node (n=1). Some tumors located on the distal limbs contained mineralized foci. Two horses had multiple MCTs. One horse with a MCT on the limb also had a lymph node metastasis and developed another MCT on the limb a few years after the initial diagnosis. 

The majority of equine cutaneous MCTs are benign and respond well to complete excision; however, there are reports of more aggressive tumors that may be recurrent or multicentric. In some cases, it is uncertain whether equine MCTs represent a true neoplasm or a reactive process. Histologically, these tumors are often characterized by eosinophil infiltrates, necrosis, fibrosis and mineralization, which requires differentiation from equine collagenolytic granuloma. MCTs are reported more often in male horses and usually present as a solitary skin mass on the head, neck, trunk or limbs. There does not appear to be a breed predilection, but Arabian horses are overrepresented in some surveys. Diagnosis of mast cell tumor in horses can be obtained by cytology or histopathology.   AHL 

 

References 
1. Kiupel M. Mast Cell Tumors. In: Tumors in Domestic Animals, 5th ed. Meuten DJ, ed. Wiley Blackwell, 2017:200. 
2. Mair TS, Krudewig C. Mast cell tumours (mastocytosis) in the horse: A review of the literature and report of 11 cases. Equine 

   Vet Educ 2008;20(4):177-182.