Osteomyelitis due to Candida albicans infection in a dog with previously diagnosed immune-mediated thrombocytopenia
Kristiina Ruotsalo, Felipe Reggeti
Animal Health Laboratory, University of Guelph, Guelph, ON.
AHL Newsletter 2022;26(3):29.
A 1.5-year-old, male castrated mixed breed dog with a three month history of immune-mediated thrombocytopenia being treated with combination immunosuppressive therapy was presented with recent onset of lameness and pyrexia which did not respond to antibiotic therapy. Radiographs revealed evidence of aggressive, proliferative bone lesions involving the left scapula, distal humeri, and the right tibia. Direct smears of material aspirated from the humeri and synovial fluid from the tibia were received for cytological evaluation.
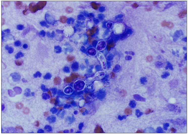
Samples from the tibia and right humerus revealed a predominant population of inflammatory cells against a hemodiluted slide background. A large number of neutrophils, moderate number of macrophages and low number of small lymphocytes were also identified. Numerous round to oval yeast that were 5-10 μm in diameter and exhibited a thin clear capsule and granular internal details were scattered amongst this inflammatory cell population, and were also rarely identified within macrophages. Rare narrow-based buds and short hyphae or pseudohyphae were also identified.
Culture of the synovial fluid resulted in a pure growth of Candida albicans, as identified by Matrix Assisted Laser Desorption Ionization Time-of-Flight (MALDI-TOF) and confirmed by internal transcribed spacer (ITS) sequencing. ITS is a fragment of highly conserved DNA that is used for molecular identification of yeast and fungi.
Candida albicans is a dimorphic fungus that normally resides in the nasopharynx, gastrointestinal tract, and external genitalia of many species, and is opportunistic in causing disease. Intact skin, mucosal barriers and resident microflora are important in preventing Candida infections. Thus, anything that disrupts these defenses may facilitate entry of organism into the body. Once in the body, cell mediated immunity is an important determinant of additional spread of infection. Mannan, a Candida cell wall glycoprotein, has immunosuppressive properties that facilitate persistent intracellular infection.
Prolonged immunosuppression, cytotoxic chemotherapy resulting in neutropenia, diabetes mellitus, long-term glucocorticoid therapy, and prolonged antibiotic therapy have resulted in an increased incidence of disseminated candidiasis in people. Vertebral infection with Candida albicans has been previously reported in a dog, likely secondary to a penetrating wound at that site. Similar to this patient, a favourable response to antifungal therapy was achieved. AHL

Figure 1. Synovial fluid with yeast and pseudohyphae against an inflammatory cell background. Wright’s stain.
References
1. Greene CE, Chandler FW. Candidiasis and rhodotorulosis. In: Infectious diseases of the dog and cat, 3rd ed. Green CE, ed. Elsevier, 2006:627-633.
2. Kraster S, et al. Vertebral osteomyelitis due to Candida albicans in a dog. Trakia Journal of Sciences 2088;6:66-72.