Piglet meningoencephalitis attributed to PCV-3 infection
Amanda Mansz
Animal Health Laboratory, University of Guelph, Guelph, ON
AHL Newsletter 2023;27(1):16
As previously published in AHL Newsletter 2021;25(2):14 (https://www.uoguelph.ca/ahl/porcine-circovirus-3-pcv3-results-ahl-2018-2021), retrospective studies have confirmed that porcine circovirus-3 (PCV3) has been present but undetected in swine herds for many years. Association of this virus with clinical disease is a recent event. Although PCV3 belongs to the same virus family as PCV2, vaccines do not provide cross-protection between the 2 viruses, and tests for each virus are distinct and will not cross-react. PCV3 has been associated with an increase in mummified and stillborn fetuses, weak neonates, as well as poor growth in older pigs. Previously documented cases highlighted histologic lesions in PCV3-infected fetuses and pigs that included lymphocytic myocarditis and myocardial fibrosis, and lymphocytic perivasculitis in various organs, especially in heart and kidney. Using in situ hybridization (ISH) methods, PCV3 nucleic acid can be detected in tissues, co-localized with histologic lesions.
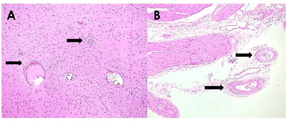
A postmortem submission to the AHL of two 2 to 3-day-old piglets from a herd with a recent history of young piglets with unusual body conformation (pinned-back ears and humped backs) followed by signs of pneumonia and death was recently completed. A diagnosis of PCV3 infection was made by a combination of test results including: suggestive histological lesions, strongly-positive PCR detection of PCV3 in lung tissue, and ISH testing. Histological lesions in both piglets included multi-organ mononuclear perivascular cuffing, and vasculitis within sections of lung, heart, kidney, liver, stomach, intestinal mesentery, brain and spinal cord (Fig. 1). PCR testing of a pooled sample of lung from both pigs was positive for PCV3 with a Ct value of 19.99. A single section of brain with non-suppurative vascular lesions was sent to the Veterinary Diagnostic Laboratory of Iowa State University for ISH testing, and profound intracytoplasmic staining of both neurons and adjacent glia for PCV3 was detected. Although non-suppurative encephalitis in neonates has been documented previously, this was one of the first cases diagnosed at the AHL.
PCV3 should be considered as a rule-out for herds experiencing reproductive losses due to increased stillborn and mummified fetuses and/or weak neonates, neonates with a complaint of failure to thrive, and nursery or grow-finish pigs with poor growth and ill-thrift. Along with microscopic evaluation of a full range of tissues, useful samples for PCV3 PCR testing include pooled tissues (lung, heart, kidney) from fetuses or older pigs, in addition to fetal thoracic fluid and processing or castration fluids. AHL

Figure 1. Histological lesions of PCV3 infection in piglets (H&E stain). A. Lymphoplasmacytic encephalitis of the midbrain (arrows). B. Arteries within the leptomeninges of the spinal cord infiltrated or cuffed by plasma cells and lymphocytes (arrows).
Reference
1. Kroeger M, et al. Five years of porcine circovirus 3: What have we learned about the clinical disease, immune pathogenesis, and diagnosis. Virus Res 2022;(6)314198764. doi: 10.1016/j.virusres.2022.198764.