Saint Bernard dermal proliferative arteritis of the nasal philtrum
Amanda Mansz
Animal Health Laboratory, University of Guelph, Guelph, ON.
AHL Newsletter 2025;29(4):29.
Biopsies from a 6-year-old male neutered Saint Bernard dog with greater than a year long history of nasal philtrum epithelial depigmentation and recent recurrent bleeding were submitted to the AHL for histopathology.
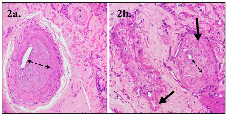
Microscopic examination highlighted luminal narrowing of several mid- to deep-dermal arteries and arterioles with marked thickening of the intima by fibrillar eosinophilic to basophilic material and spindle cells, and highly irregular internal elastic laminae (Figs. 2a, 2b). Several hemosiderin-laden macrophages (suggestive of previous hemorrhage) were scattered throughout the superficial dermis and surrounded affected vasculature.
Proliferative arteritis of the nasal philtrum has classic presenting features that have been recognized in dogs. Published cases most commonly include Saint Bernards; however, it has also been reported in giant schnauzers, bassett hounds, doberman pinschers, Labrador retrievers, Newfoundland dogs, Samoyeds and mixed-breed dogs. Original reports in Saint Bernards included genetically-related dogs, suggesting a potential genetic breed predilection. Age of onset ranges from 2 – 6 years of age. Gross lesions are limited to the nasal philtrum - the rest of the nares are spared - and include non-pruritic and non-painful, well-demarcated linear to oval shaped ulceration of the nasal philtrum with episodes of mild to profuse hemorrhage (Fig.1).

Figure 1. Gross lesions of Proliferative arteritis of the nasal philtrum in a 6-year-old Saint Bernard dog. Distinct focal linear ulceration of the nasal philtrum parallel to the lip margin with surrounding hemorrhage.

Figure 2. Histologic features of proliferative arteritis of the dermal arteries/arterioles of the nasal philtrum. a. Marked narrowing of the lumen and thickening of the wall of dermal arteries and arterioles with matrix deposition in the tunica intima and subendothelial spindle cell proliferation (dashed arrows) 20x. b. Highly irregular undulating internal elastic lamina (solid arrows) 20x. H&E stain.
Reference
1. Miller W, et al. Autoimmune and immune-mediated dermatoses. In: Muller & Kirk's Small Animal Dermatology.,3rd ed. Saunders-Elsevier, 2013, 483-485.