Streptococcal arthritis in an adult goat
Meegan Larsen
Animal Health Laboratory, University of Guelph, Guelph, ON.
AHL Newsletter 2025;30(1):14.
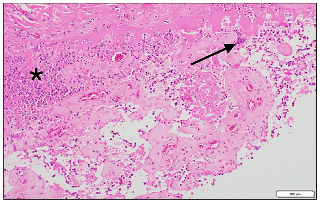
Three adult Saanen goats in a herd of four hundred suddenly came up forelimb lame. No hoof problems were appreciated clinically. The lameness progressed to three-legged lame, and the goats were eventually euthanized. The left and right front limbs from one of the affected goats, a 3-year-old female, were submitted to the AHL for post-mortem examination. Prior to euthanasia, lameness was noted to be more severe in the left than the right forelimb in this goat. Serum ELISA (antibody) tests for Caprine Arthritis and Encephalitis Virus (CAEV) had been positive in a couple of animals from the herd on the last test. Clinical differential diagnoses at the time of submission included infectious arthritis caused by CAEV or mycoplasma and traumatic injury. Grossly, there was severe fibrinous and suppurative arthritis affecting the left carpus, right elbow and right fetlock; no evidence of trauma was appreciated. Histologic examination confirmed the gross diagnosis, revealing severe suppurative and fibrinous inflammation of the synovium with occasional intralesional clusters of bacteria (Fig. 1). Chronic ongoing inflammation extended into the periarticular connective tissue and skin around the left carpus, the most severely affected limb both clinically and grossly. The histologic findings were not consistent with a diagnosis of CAEV, and CAEV antigen was not detected in the histologic sections using immunohistochemistry. No mycoplasma organisms were isolated on mycoplasma culture. Bacterial culture yielded large numbers of Streptococcus dysgalactiae subsp. dysgalactiae from the left carpus and fewer organisms from the right elbow and fetlock joints. Progressive lameness in this adult goat was therefore attributed to joint infection with S. dysgalactiae subsp. dysgalactiae.
Streptococcal infections can manifest as arthritis in many veterinary species including pigs, dogs, horses, cows, sheep and goats. In small ruminants, S. dysgalactiae subsp. dysgalactiae is a relatively well-known cause of septic arthritis (“joint ill”) in young animals; however, it has also been reported to cause polyarthritis in adult goats of the Saanen breed, and this breed may be more susceptible than others. The bacterium acts as an opportunistic and environmental pathogen in goats with reservoirs in the skin, mucus membranes, oral cavity, reproductive tract, mammary gland and housing/bedding and additional factors likely predispose to clinical disease. S. dysgalactiae subsp. dysgalactiae is generally sensitive to beta-lactam antibiotics such as penicillin. Bacterial culture of joint fluid, in addition to mycoplasma culture and serology for CAEV, are relevant clinical diagnostic tests in cases of polyarthritis in adult goats.

Figure 1. The synovial surface forms papillary projections covered with fibrin and neutrophils (*) mixed with occasional small clusters of bacteria (arrow). H&E stain.
Reference
1. Blanchard PC, Fiser KM. Streptococcus dysgalactiae polyarthritis in dairy goats. JAVMA 1994;205(5):739-741.