Theileriosis in a dairy cow from eastern Ontario
Kristiina Ruotsalo, Hugh Cai, Tim Pasma
Animal Health Laboratory, University of Guelph, Guelph, ON.
AHL Newsletter 2025;29(4):9.
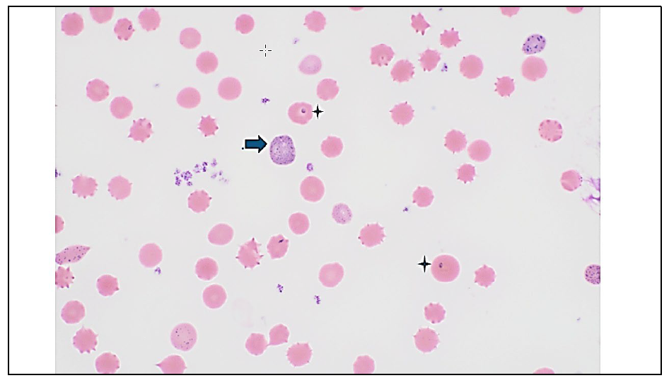
A 3-year-old Holstein cow, imported from the USA in July of this year, exhibited signs of malaise including pale mucous membranes, decreased appetite and milk production following participation at a local livestock show. EDTA blood and serum were submitted for CBC and biochemistry profile. The CBC revealed marked anemia with hematocrit of 0.15 L/L (reference interval 0.21-0.30 L/L), hemoglobin 43 g/L (reference interval 84-120 g/L), in addition to mild neutropenia and mild to moderate lymphocytosis. The biochemistry profile was unremarkable except for a marginal increase in total bilirubin of 5 umol/L (reference interval 0-3 umol/L). Evaluation of the peripheral blood smear confirmed a marked, highly responsive anemia characterized by an average of five polychromatic erythrocytes per 40x field, and the presence of frequent basophilic stippling of erythrocytes. Basophilic stippling is not uncommon with highly regenerative anemia in ruminants, and the presence of any polychromatic erythrocytes is indicative of a significant regenerative response. Of greatest importance was the presence of frequent individual and rare pairs of oval to linear, to signet-ring shaped piroplasms within erythrocytes which were consistent with Theileria (Fig. 1). Universal 18S rRNA gene PCR sequencing at the AHL indicated that the blood sample was positive for Theileria orientalis complex.
Theileria is an immediately notifiable disease by laboratories to the Canadian Food Inspection Agency (CFIA) and to the Office of the Chief Veterinarian for Ontario; therefore, these agencies were notified. Remaining EDTA blood from this cow was submitted for further analysis to the CFIA. The sample was confirmed to be positive for Theileria orientalis Ikeda genotype.
This is the first known case of Theileria orientalis genotype Ikeda in both Ontario and Canada.
Theileria buffeli (now reclassified as T. orientalis genotype Buffeli) was previously identified in a dairy cow, also from eastern Ontario (AHL Newsletter 2015;19(1):7).
Theileria are obligate intracellular protozoan parasites which infect erythrocytes and leukocytes. Theileria orientalis includes eleven identified genotypes. Three main genotypes have been identified in the United States: Ikeda, which is often associated with the most severe clinical signs including anemia, ill thrift, abortions and death in all ages of cattle, Chitose, with variable clinical signs, and Buffeli, often resulting in limited to no clinical signs. Cattle can be infected for life, especially with Ikeda, and long-term impacts on production, along with potential recrudescence of disease during times of stress may be noted. T. orientalis Ikeda has caused major economic losses in Asia, New Zealand and Australia. The primary tick vector is Haemaphysalis longicornis (Asian longhorned tick) which was identified in the U.S. in 2017 in Virginia, (and possibly earlier, when archived tick samples were studied). As of July 2025, these ticks have been detected in 19 states.
H. longicornis are three-host ticks, with larvae, nymphs, and adults feeding on a wide range of wild and domestic species including birds, white-tailed deer, companion animals, livestock, horses and humans. Once introduced into a suitable habitat, H. longicornis numbers can increase rapidly due to their bisexual nature, and ticks are also able to reproduce parthenogenetically. Ticks can remain infected on pasture for up to two years under favourable conditions. As of early 2025, H. longicornis has not been confirmed as established in Canada.
Whenever anemia is suspected or identified in cattle, initial diagnostic steps should include a comprehensive CBC with a detailed examination of a peripheral blood smear by a veterinary clinical pathologist. Ideally, an air-dried, unstained peripheral blood smear, made at the time of blood collection, should be submitted along with the EDTA sample to the laboratory. Sample aging artifact may obscure cellular details sufficiently to mask the presence of low numbers of organisms, making slide preparation at the time of sample collection essential. A concurrent serum biochemistry profile may also be helpful in further characterizing the potential cause of anemia. If the cause of anemia remains unclear, or if organisms suspicious for Theileria are identified, further testing by PCR can be undertaken. The Animal Health Lab has adopted and validated a qPCR assay for the detection of Theileria spp. (test code: thsppcr). Positive samples can be further tested by DNA sequencing to identify the species and genotype.

Figure 1. Peripheral blood smear with evidence of polychromasia with basophilic stippling (arrow) and intraerythrocytic piroplasms of Theileria orientalis Ikeda (stars). H&E stain.
References
1. Dinkel, et al. A US isolate of Theileria orientalis Ikeda genotype is transmitted to cattle by the invasive Asian longhorned tick, Haemaphysalis longicornis. Parasites & Vectors 2021;14:157. https://doi.org/10.1186/s13071-021-04659-9
2. Malik, et al. Molecular diagnosis of tropical theileriosis: Development and validation of species-specific qPCR assays in Pakistan. Experimental Parasitology 2025;278. https://doi.org/10.1016/j.exppara.2025.109033
3. Moustafa, et al. Genome of the invasive North American Haemaphysalis longicornis tick as a template for bovine anti-tick vaccine discovery. BMC Genomics 2025;26:307. https://dol.org/10.1186/s12864-05-11477-1
4. Oakes, et al. Theileria orientalis Ikeda genotype in cattle, Virginia, USA. Emerging Infectious Diseases 2019;25:9. www.cdc.gov/eid
5. Ontario Ministry of Agriculture, Food, and Agribusiness Veterinary Advisory: Bovine Theileriosis www.ontario.ca/omafa
6. United States Department of Agriculture Emerging Risk Notice January 2021 Theileria orientalis Iked.