Uveodermatologic syndrome (Vogt-Koyanagi-Harada-like syndrome) in a young Samoyed
Amanda Mansz
Animal Health Laboratory, University of Guelph, Guelph, ON
AHL Newsletter 2025;30(1):28.
Biopsies from a 3-year-old male neutered Samoyed with a one-month history of depigmentation of the lips, nasal planum and periocular skin were submitted to the AHL for histopathology. Additional history provided that the dog was starting to lose vision and had cloudy eyes.
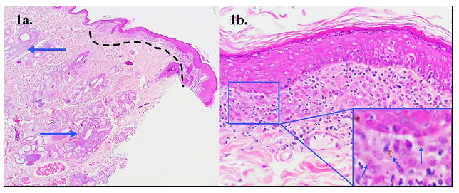
Microscopic examination highlighted an interface dermatitis (Fig. 1a) with inflammation composed of dense clusters of plump histioctyes with fewer small lymphocytes and plasma cells. Histiocytes formed small clusters within the epithelium and extended to surround sebaceous glands and hair follicles. Many superficial dermal histioctyes contained fine melanin granules (“melanin dusting”) (Fig. 1b). Changes to the skin were considered consistent with a diagnosis of uveodermatologic syndrome or Vogt-Koyanagi-Harada-like syndrome.
Uveodermatologic syndrome or Vogt-Koyanagi-Harada-like syndrome is a rare depigmenting condition only seen in dogs and humans and is characterized by concurrent acute onset of bilateral panuveitis and depigmentation of the nose, lips, eyelids, and occasionally footpads and anus/vulva/scrotum. Leukoderma as well as leukotrichia are observed. The uveitis often precedes the skin lesions. Breed predispositions include Arctic Breeds (Akita Inus, Siberian huskies, Samoyeds and Alaskan malamutes) but this syndrome has also been reported in various other breeds. The cause of the disorder is currently unknown, but a cell-mediated hypersensitivity to melanin has been postulated.

Figure 1. Uveodermatologic syndrome or Vogt-Koyanagi-Harada-like syndrome: Periocular skin. H&E stains. a. Distinctive interface dermatitis characterized by a subepithelial basophilic band of inflammation (dashed line) and perifollicular involvement (blue arrows) 4x. b. Interface dermatitis composed of a dense band of histiocytes with fewer lymphocytes and plasma cells (2x). Insert: Histiocytes containing a fine dusting of melanin granules (blue arrows) (40x).
Reference
1. Mauldin EA, Welle MM. Integumentary system. In: Jubb, Kennedy, and Palmer’s Pathology of Domestic Animals 7th ed. Maxie MG, ed. Elsevier, 2026;1:560-561.