Vascular amyloidosis in a Northern Saw-whet owl
Dominique Comeau
Animal Health Laboratory, University of Guelph, Guelph, ON
AHL Newsletter 2025;29(4):20.
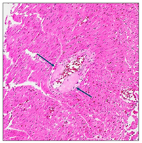
An 11-year-old Northern Saw-whet owl which had lived as a resident of a rescue organization was found deceased in its enclosure without premonitory signs. The animal had a history of arthritic change in several joints and bilateral cataracts, but was otherwise doing well. On gross examination, the coelom was noted to be mildly distended and contained clear, brown fluid. There was abundant fibrinous material over the surface of the liver. Histologically this correlated to a chronic perihepatitis. On histologic examination, it was also noted that the walls of numerous vessels, in particular the myocardium, had partial to circumferential thickening and distortion of the tunica media by the deposition of abundant acellular, brightly eosinophilic material (Fig. 1). Similar material was also found in the parenchyma of the spleen and the liver. This material-stained orange/red with Congo red special histologic stain, with bright green birefringence under polarized light (Fig. 2). This staining pattern is diagnostic for amyloid deposition, and confirmed amyloidosis in this owl.
Amyloidosis is a heterogenous disease which can be congenital or acquired, and occurs when precursor amyloid proteins are misfolded and become insoluble; these fibrillar proteins are then deposited within tissues of the body. The exact reasons why this misfolding occurs are varied and complex; however, mutations, changes in post-translational modification of proteins, and the presence of free radicals have all been implicated. In animals, the most common form is an acquired form known as reactive amyloidosis. The most common precursor protein associated with this form is serum amyloid A, which is an acute phase protein produced during active inflammation. Secondary or reactive amyloidosis is well described in various types of birds, especially in waterfowl secondary to chronic pododermatitis. Any chronic or repeated inflammatory stimulus can potentially trigger reactive amyloidosis. In this animal, the chronic perihepatitis is a possible trigger for the development of this disease. There is evidence that this condition can be horizontally transmissible in avian species, and potentially between different species, although specific evidence regarding owls is lacking.
Deposition of amyloid can occur in various tissues, and this can lead to remarkably variable disease presentation depending on the tissues affected, making diagnosis of this condition more challenging. The liver, kidney, spleen, and blood vessels are common sites for deposition. In this case, the blood vessels were the most prominent site of deposition, with involvement of the liver and spleen as well. Given the extent of involvement of the cardiac vasculature and the pulmonary trunk, a cardiac event secondary to narrowing and distortion of these essential vessels was considered the most likely cause of acute death in this case.

Figure 1: A myocardial vessel with multifocal distortion and thickening of the wall by brightly eosinophilic (pink) deposition of amyloid (arrows). H&E stain, 20x.

Figure 2: Section of the heart showing multiple vessels with abundant amyloid deposition, which appears bright red with Congo red stain (left). This same material has bright green birefringence under polarized light (right). This pattern is confirmatory for amyloid in histologic section. Congo red stain, 20x.
References
1. Iwaide S, et al. Classification of amyloidosis and protein misfolding disorders in animals 2024: A review on pathology and diagnosis. Veterinary Pathology. 2024;62(2):117-138.
2. Ikeda M, et al. Systemic amyloid A amyloidosis secondary to chronic enteritis in a captive little owl (Athenenoctua). Journal of Comparative Pathology. 2025;218:26–30.
3.Murakami T, et al. Transmission of systemic AA amyloidosis in animals. Veterinary Pathology. 2014;51(2):363-371.
4. Miller PJ, Koch G. Newcastle disease. In: Diseases of Poultry, 14th ed. Swayne DE, ed. Wiley Blackwell, 2020;vol I:112-129.