Knemidocoptes mutans (scaly leg mite) in backyard flocks
Emily Martin
Animal Health Laboratory, University of Guelph, Guelph, ON
AHL Newsletter 2021;25(4):18.
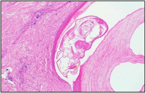
Scaly leg mites (Knemidocoptes mutans) infect both wild birds and domestic poultry. Transmission is by direct contact and all life stages occur on the bird. These mites live in areas of unfeathered skin. They burrow into the skin of the shanks and feet causing irritation, tissue swelling, enlarged scales and hyperkeratosis, resulting in the lesions having white, powdery, exfoliating crusts (Fig. 1, 2). The shanks and feet appear to have thickened skin and the scales can be seen to protrude (Fig. 3, 4). If left untreated, deformity of the legs and claws can result, and birds can become crippled. Eventually, there is slow spread of this parasite through the flock.
Treatment of individual birds is required. Daily application of an oil-based product (e.g. petroleum jelly, paraffin, mineral oil) will soften the crusts. Then, the affected areas can be washed with mild soap to loosen and remove crusts. Treatment should continue for at least 2 weeks or until the legs return to normal appearance. Insecticide treatment is an option, but must be administered on the advice of a veterinarian. AHL
![]() |
![]() |
| Figure 1. Histology of skin showing hyperkeratosis and burrowed mite (H&E, 4x). | Figure 2. Higher magnification of mite (H&E, 20x). |
![]() |
![]() |
| Figure 3. Thickened skin and raised scales. | Figure 4. Swollen feet and exfoliating crusts. |
References
1. Hinkle NC, Corrigan RM. External Parasites and Poultry Pests. In: Diseases of Poultry, 14th ed. Swayne DE, ed. Wiley Blackwell, 2020; vol II:1137-1156.
2. Fitz-Coy SH. Parasitic Diseases. In: Avian Disease Manual, 7th ed. Boulianne M, ed. OmniPress, 2013:153-178.
3. Habte T, et al. Guide to chicken health and management in Ethiopia. International Livestock Research Institute (ILRI), 2017:35-36.



